Little Couple’s Bill Klein breaks his elbow while ‘running from a swarm of wasps’ in accident causing ‘traumatic damage’

LITTLE Couple’s Bill Klein broke his elbow while “running from a swarm of wasps” in an accident that caused “traumatic damage.”

The incident occurred one year after the reality star’s settled a lawsuit against the show’s producer to reclaim intellectual property rights.



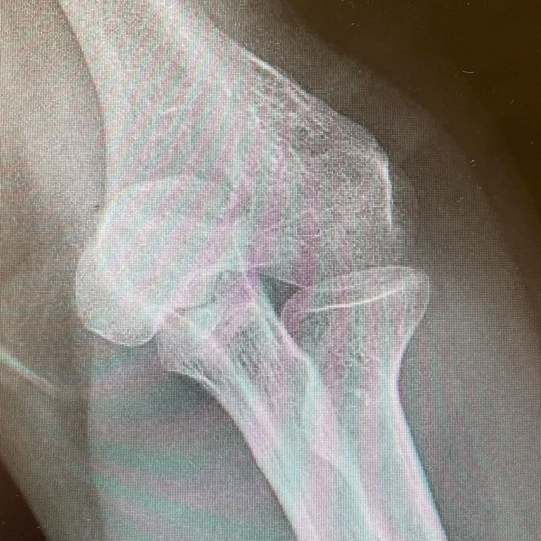
Bill shared his ex-ray on Instagram revealing that he fell and broke his elbow

He claimed that he can’t get the “elective” surgery needed to fix it due to Covid

The 45-year-old took to Instagram to share his x-rays after a nasty fall caused him to break his elbow.

Bill explained the details of the accident, revealing that he can’t get the “elective” surgery he needs to fix the crack due to Covid protocols.

He wrote: “Fun fact, I broke my right elbow when I was 7 after speeding down a hill on my bike, got so winded I blacked out and awoke bloody and broken.

“This time around, nothing nearly as exciting… during an attempt to elude a small swarm of wasps, my head forgot that my legs have never “run” (to or away from anything, before, ever), even when chased… and that’s how you plant an elbow on pavers! That was 4 weeks ago
?
since it wasn’t getting better, I went back for another x-ray.”

The TV star – who’s wife Jen Arnold is a doctor – also took the opportunity to encourage others to get vaccinated.

“This image probably has a few things wrong in it courtesy of my dysplasia… but can you find the most recent traumatic damage? Have a super weekend everyone! And get vaccinated
?
so I can get my “elective” surgery.”

LAWSUIT SETTLEMENT

The injury comes one year after the pair finalized an on-going lawsuit with the TLC show’s producers.

The legal matter started in June 2016 when producer LMNO Cable Group sued Discovery Communications for $7 million.

In court papers obtained by The Hollywood Reporter, LMNO Cable Group claimed their accountant falsified records to hide hundreds of thousands of dollars in embezzled money.

The company claimed Discovery Communications used the situation to “steal” TLC’s The Little Couple and “put LMNO” out of business.

LMNO and Discovery Communications eventually agreed to a settlement.

NOT OVER

But the legal battle wasn’t over, as The Little Couple’s Jen, 46, and Bill asked to intervene in the case in May 2017.

According to court papers, they believed they were “entitled to a portion of LMNO’s contingent compensation in The Little People.”

They also alleged in court papers that they felt entitled to a portion of Discovery’s “’adjusted gross revenues’ from certain forms of exploitation of the Program.”

Jen and Bill feared they would “lose valuable monetary and intellectual property rights which would be adjudicated without their interests being represented; nor would any of the current parties represent [Jen and Bill’s] interests adequately or at all,” the court papers state.

They accused LMNO of breach of contract, fraud, unfair competition, conversion and more.

FINAL OUTCOME

In court papers obtained by The Celeb Report, the parties agreed to mediation and reached a settlement agreement.

The court ordered the lawsuit be dismissed in light of the “successful” mediation and settlement.

The couple reportedly earned $40,000 per episode from the TLC series, which premiered in 2009.

The last episode of The Little Couple aired in September 2019.

The Little Couple has yet to be renewed for season 15.



The accident comes one year after the couple settled a lawsuit with the TLC show’s producers

In court papers the parties eventually agreed to mediation and reached a settlement

The last episode of The Little Couple aired in September 2019

Did you miss our previous article...
https://thecelebreport.com/television/teen-mom-kayla-sessler-22-shares-shes-pregnant-with-3rd-child-in-young-amp-pregnant-trailer-after-claiming-luke-cheated